
Τη πρώτη θωρακοσκοπική επέμβαση σε 6χρονη ασθενή στη Κύπρο με απόλυτη επιτυχία πραγματοποίησε σε ιδιωτικό θεραπευτήριο ο Βολιώτης θωρακοχειρούργος Δημήτρης Κυπαρισόπουλος, ο οποίος σε,ανάρτηση του στη σελίδα του στο FB αναφέρει:


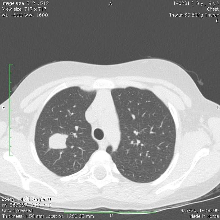
Στην φωτό 1 με βλέπετε με την μικρή 8χρονη πριγκίπισσα Β την ώρα που την παραδίδω στην μητέρα της για εξιτήριο, 24 ώρες μετά την θωρακοσκοπική επέμβαση μέσω της τομής 2 εκατοστών (φωτό 2), για την μάζα στον δεξιό της πνεύμονα (φωτό 3). Στην φωτό 4 βλέπετε το παγωτό που την κέρασα 2 ώρες μετά από το χειρουργείο.
Η μικρή Β βρέθηκε να έχει αυτή τη μάζα στον πνεύμονα σαν τυχαίο εύρημα. Με συνοπτικές διαδικασίες κανονίστηκε η παραπομπή της μέσω του Υπουργείου σε γνωστό ιδιωτικό νοσοκομείο για την διενέργεια θωρακοτομής (φωτό 5), χωρίς καν να υπάρχει πριν βιοψία ή ολοκληρωμένος απεικονιστικός έλεγχος με αξονικές και PET scan. Το “πακέτο ” περιλάμβανε πολυήμερη παραμονή στην μονάδα εντατικής θεραπείας και εξιτήριο μετά περίπου 15 ημέρες…
Δυσκολεύτηκα να βρω τα στοιχεία επικοινωνίας της οικογένειας, καθώς δεν υπήρχαν πουθενά στην αίτηση που υποβλήθηκε, αλλά δεν δυσκολεύτηκα καθόλου να τους πείσω ότι το πλάνο ήταν λάθος.
Αφού οργάνωσα τα προβλεπόμενα, σε συνεννόηση με τον θεράποντα ιατρό της, προχώρησα στην πρώτη τέτοιου είδους επέμβαση στην Κύπρο, χάρη στην αυταπάρνηση πολλών ανθρώπων, που έκλεισαν τα αυτιά τους στο bullying που δέχθηκαν όλες αυτές τις ημέρες.
Σε αυτούς λοιπόν είναι αφιερωμένο : Στον Μάριο που παρέδωσε μαθήματα αναισθησιολογίας, στην Florina που για να με εργαλιοδοτήσει είχε μετακομίσει όλο το χειρουργείο μέσα στην αίθουσα, στην Μικαέλα που κρατούσε υποδειγματικά την κάμερα και τέλος στον Αντρέα που έτρεχε σαν πελλός πάνω κάτω για να μη λείψει τίποτα.
Στην παιδίατρο Δρ Κλεοπάτρα Σάββα που επιφορτίστηκε την παρακολούθηση αυτές τις λίγες ώρες παραμονής στον παιδιατρικό θάλαμο και τέλος όλους τους νοσηλευτές του παιδιατρικού θαλάμου που την έκαναν να αισθανθεί σαν στο σπίτι της.
Θα ήταν αδικία να μην συμπεριλάβω την Διοίκηση της Πολυκλινικής Υγεία και ιδιαιτέρως τους κκ Ριαλά και Ζαχαριάδη για τις ενέργειες τους και την εμπιστοσύνη τους (για άλλη μια φορά) στο πρόσωπο μου…
Τους ευχαριστώ όλους θερμά που μου επέτρεψαν να χειρουργήσω επιτυχώς μέσα σε 12 λεπτά και χωρίς να χάσω καθόλου αίμα, όχι μια άγνωστη 8χρονη αλλά την μικρή μου κόρη που είναι σχεδόν συνομήλικη της…
Το βίντεο της επέμβασης θα αναρτηθεί εντός ολίγων ημερών από την ιστοσελίδα μου.



















